Polikistik over sendromu’nun görülme sıklığı 90′ lı yıllardan itibaren büyük bir artış göstermiştir.

Polikistik Over Sendromu ile ilgili Merak Ettikleriniz...

sp-icon2
Doğum Kontrol Hapı Kullanımı ve Polikistik Over Sendromu
Polikistik over sendromu tedavisinde doğum kontrol hapı kullanılması doğru değildir.
sp-icon5
Polikistik Overde Uzun Yıllar Aralıksız Doğum Kontrol Hapları
Uzun yıllar, aralıksız olarak doğum kontrol hapı kullanan kadınlar örneğin çocuk sahibi olmak için doğum kontrol hapını kesmeye karar verdiklerinde büyük bir süprizle karşılaşabilmekteler...
sp-icon3
Küçük Kızlarda Doğum Kontrol Hapları
Doğum kontrol hapları polikistik over sendromu olan kızlarda erken teşhisi engellemektedir...
sp-icon8
Polikistik Over ve Vücut Yapısı
Polikistik over olan kadınlarda kalça ve uyluk bölgelerinde yağların depolanma kapasiteleri düşüktür...
sp-icon1
Polikistik Over Sendromu’nda Cinsel İstek (Lİbido)
Cinsel istek erkeklik hormonları ve onların son ürünü olan dihidrotestosteron miktarına paralel olarak artmaktadır...
sp-icon7
Polikistik Over Sendromu'nda Cinsel İstek ve Eşcinsellik (Lezbiyen, Gay, Transseksüel)
Polikistik over sendromu olan eşcinsel kadınların bir kısmında daha çok kısa saç, erkeksi giyim ve davranışları içeren erkek rolünün (butch) üstlenildiği görülmektedir...
sp-icon8
Polikistik Over Sendromu’nda Çocuk İsteği ve Tedavisi
Gerçekten uygulanması gereken durumlar olan ileri derecede sperm bozukluğu ve her iki tüpünde tıkalı olması dışında polikistik over sendromu olanlarda tüp bebek uygulanması doğru değildir...
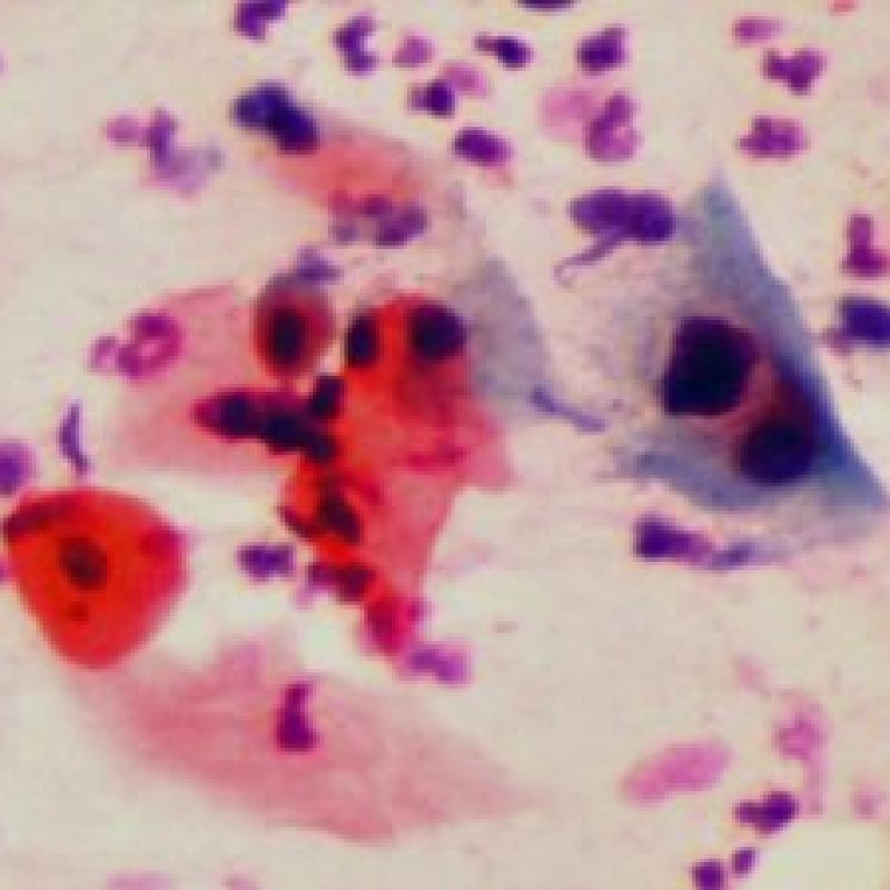
hpv
Rahim Ağzı Kanseri, HPV (Human Papilloma Virus) ve Polikistik Over Sendromu
HPV enfeksiyonu genellikle akıntı, kanama ve ağrı gibi şikayetler yapmamaktadır. Gözle görülemeyen, ancak mikroskop ile görülebilen hücre içinde bazı değişikliklere neden olmaktadır...